Kontakt

Neue Herzklappentechnologie am Immanuel Herzzentrum Brandenburg: eine Krone für die undichte Mitralklappe
Erstmals in Brandenburg konnte die Tendyne-Technik zum Mitralklappen-Ersatz im Katheterverfahren erfolgreich eingesetzt werden.
Am Immanuel Herzzentrum Brandenburg wurde erstmals in Brandenburg ein Hochrisiko-Patient mit Mitralklappeninsuffizienz mit einem neuen Klappenersatzverfahren behandelt. Mithilfe einer „Tendyne-Klappe“ haben die Bernauer Herzspezialistinnen und Herzspezialisten dem Patienten im Katheterverfahren erfolgreich eine neue Herzklappe eingesetzt. Die neue Technologie ist die erste Behandlungsmöglichkeit ihrer Art, um die Mitralklappe ohne Operation am offenen Herzen zu ersetzen, wenn eine Transkatheter-Reparatur der Klappe nicht möglich ist. Der mehrfach vorerkrankte Patient, bei dem die Mitralklappe nicht mehr vollständig schloss, konnte so ohne Herz-Lungen-Maschine und Öffnung der Brust behandelt werden.
Der 63-jährige Patient und das Herzzentrum wurden in einem komplizierten Auswahlverfahren vom Hersteller Abbott ausgewählt, um die neue Technologie anzuwenden.

Unter vielen Bewerbern wurde das Immanuel Herzzentrum Brandenburg aufgrund seiner ausgewiesenen Expertise unter Kardiologie-Chefarzt Prof. Dr. Christian Butter ausgewählt. Es gehört damit zu den wenigen Zentren im Osten Deutschlands, bei denen der Tendyne-Mitralklappenersatz zum Einsatz kommt.
Die Mitralklappe ist eine der vier Klappen des Herzens, die als Ventile zwischen den Herzkammern und den Arterien arbeiten. Die Mitralklappe besteht aus zwei Segeln zwischen dem linken Vorhof und der linken Herzkammer. Wenn die Segel nicht mehr richtig schließen, fließt mit jedem Herzschlag Blut zurück in den Vorhof. Aufgrund der Undichtigkeit der Klappe leidet der Patient an einer Herzschwäche, die Organe werden nicht mehr ausreichend mit Sauerstoff versorgt. Etwa zwei Millionen Menschen in Deutschland leiden an einer Herzinsuffizienz. Sie gehört mit zu den führenden Todesursachen.
Herausforderung komplexe Mitralklappe
„Unser Patient hatte wegen einer hochgradig undichten Mitralklappe bereits viel Zeit in anderen Krankenhäusern verbracht. Die Herzschwäche führte zu Luftnot und eingeschränkter Belastbarkeit. Aufgrund seiner zahlreichen Begleiterkrankungen und seines Allgemeinzustandes entschieden wir als Herzteam, bestehend aus Herzchirurgen, Kardiologen und Anästhesisten, dass das Risiko einer offenen Herzklappen-Operation zu hoch war.
Auch die bisher etablierten kathetergestützten Maßnahmen wie zum Beispiel ein MitraClip, der auf die Segel aufgesetzt wird und sie zusammenhält, kam aus anatomischen Gründen nicht in Frage“, erklärt Prof. Dr. Christian Butter, Chefarzt der Abteilung für Kardiologie am Immanuel Klinikum Bernau Herzzentrum Brandenburg. „Es ging um Leben und Tod. Der Patient brauchte eine neue Herzklappe, ohne Herz-Lungenmaschine, am schlagenden Herzen, minimal-invasiv, nur durch einen Katheter.“

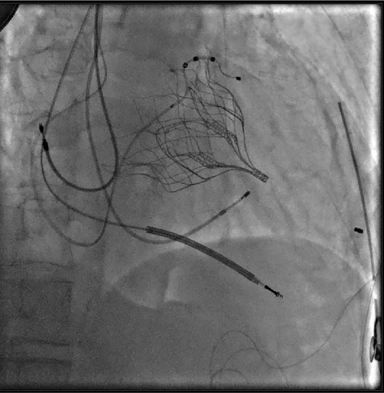
Eine Herausforderung. Denn während der Ersatz von Aortenklappe in Kathetertechnik (TAVI) sich in den vergangenen 20 Jahren etabliert hat und seit 2008 auch am Immanuel Herzzentrum Brandenburg bereits circa 3.700-mal über die Leiste implantiert werden konnte, gestaltet sich der Einsatz einer neuen Mitralklappe mittels Katheter (TMVI) deutlich komplizierter. Die Anatomie dieser Herzklappe ist komplexer, sie ist sehr beweglich und befindet zwischen zwei linken Herzkammern. Aufgrund der starken Muskelbewegung und der großen Strömung ist die Verankerung der neuen Klappe schwierig. Die biologische Ersatzklappe kann nicht wie eine neue Aortenklappe einfach vor die erkrankte Klappe auf den Faserring gesetzt werden.
„Immer wieder hat die Herzmedizin verschiedenste Ansätze bei ausgewählten Patienten erprobt, aber keine konnte wie die TAVIs überzeugen“, so Prof. Dr. Butter. Mit der seit 2020 zugelassenen Tendyne-Ersatzklappe kommt ein neuer Verankerungsmechanismus zur Anwendung. Ein an der Klappe befestigtes Halteband (Klappen-Tether) wird mit einem kleinen „Knopf“ mit der Herzspitze verbunden und hält so die Klappe in Position. Die zarte künstliche Klappe selbst ist wie eine Doppelkrone in eine etwas größere tulpenförmige Halterung eingenäht. Sobald sie am Faserring, dem Übergang zwischen den Herzkammern, freigesetzt wird, dehnt sie sich aus und dichtet als neue Klappe den Ring ab.
Neue Technologie als einzige Chance für den Patienten
Diese neue Technologie war die einzige Chance für den Patienten in Bernau. Nach gründlicher Vorbereitung setzte der leitende Oberarzt der Abteilung Herzchirurgie, Dr. Michael Erb, einen circa sieben Zentimeter langen Schnitt zwischen den linken Rippen. Durch die Öffnung konnte der Katheter durch die Herzspitze ins Herz bis zur undichten Mitralklappe vorgeschoben werden. Unter echokardiographischer Steuerung durch Dr. Tanja Kücken, Oberärztin der Abteilung für Kardiologie, setzen Prof. Butter und Dr. Michael Neuß, Oberarzt der Abteilung für Kardiologie, die neue Klappe genau an der richtigen Stelle frei. Sie nahm ihre Ventilfunktion sofort problemlos auf.
Nach einem Tag auf der Intensivstation wurde der Patient auf der Intermediate Care Station überwacht. Er konnte inzwischen aus dem Krankenhaus entlassen werden. „Alle Kontrollen zeigten eine tadellos funktionierende neue Mitralklappe“, bestätigt Prof. Butter.

Diese neue Technik wird, wie üblich bei neuen Therapien, zunächst nur bei ausgewählten Patienteninnen und Patienten zum Einsatz kommen können.
Ansprechperson Presse
Dr. Jenny Jörgensen
Kommunikationsmanagerin Presse
Immanuel Albertinen Diakonie
Geschäftsstelle Berlin
Am Kleinen Wannsee 5 A
14109 Berlin
T: 030 80 505-843
M: 0173 2810 906
jenny.joergensen@immanuelalbertinen.de
Basisinformationen
Immanuel Klinikum Bernau Herzzentrum Brandenburg
Das Immanuel Klinikum Bernau Herzzentrum Brandenburg ist als Universitätsklinikum der Medizinischen Hochschule Brandenburg Theodor Fontane ein Krankenhaus der Grundversorgung (Innere Medizin, Gynäkologie und Geburtshilfe, Pädiatrie und Chirurgie) und Fachkrankenhaus für Herzmedizin. Insgesamt werden jährlich über 12.000 Patienten stationär und ca. 18.000 Patienten ambulant versorgt. Das Haus verfügt über 290 Betten.
Das Herzzentrum Brandenburg zählt mit ca. 1.500 Herzoperationen und über 6.400 Behandlungen in vier Herzkatheterlaboren, wovon eines als Hybrid-Katheterlabor ausgelegt ist, und sechs Operationssälen, einer davon ein hochmoderner Hybrid-OP, zu den führenden Einrichtungen in Deutschland. Die Patienten aus der Metropolregion Berlin sowie dem In- und Ausland können in der medizinischen und pflegerischen Betreuung auf einen Erfahrungsschatz seit 1992 vertrauen.
Weitere Informationen:
https://bernau.immanuel.de/
https://herzzentrum.immanuel.de/
https://www.mhb-fontane.de/
https://www.facebook.com/immanuel.klinikum.bernau/
https://www.facebook.com/HerzzentrumBrandenburg
https://twitter.com/iD_Herzzentrum
Immanuel Albertinen Diakonie
Die Immanuel Albertinen Diakonie ist im Januar 2019 aus dem Zusammenschluss vom Albertinen Diakoniewerk und der Immanuel Diakonie hervorgegangen und steht für gebündelte Kompetenz für Menschen in herausfordernden Lebenssituationen.
Dazu dienen Einrichtungen der stationären Krankenhausversorgung, der Altenhilfe, Hospize sowie Medizinische Versorgungszentren. Hinzu kommen die Betreuung von Menschen mit Behinderungen, Angebote unter anderem in der Suchtkrankenhilfe, der Kinder- und Jugendhilfe und der psychosozialen Beratung. Eine hoch spezialisierte Akademie für Aus-, Fort- und Weiterbildung, die Trägerschaft für eine themenverbundene Hochschulausbildung sowie Dienstleistungsgesellschaften runden das Angebot ab.
Rund 7.700 Mitarbeitende in den Bundesländern Berlin, Brandenburg, Hamburg, Hessen, Mecklenburg-Vorpommern, Schleswig-Holstein und Thüringen erwirtschaften in 87 Einrichtungen einen Konzernumsatz von rund 630 Millionen Euro.
Weitere Informationen:
https://immanuelalbertinen.de
https://www.albertinen.de
https://immanuel.de