Kontakt

Immanuel Herzzentrum Brandenburg gelingt mit neuem Katheterverfahren Durchbruch in der Herzmedizin
Die weltweit erste Transkatheter Klappe-in-Klappe Implantation in eine mechanische Herzklappe verbessert Behandlungsoptionen für schwer kranke Patienten.
Den Ärzten am Immanuel Herzzentrum Brandenburg ist die weltweit erste Implantation einer Herzklappe mittels Katheter in eine bereits vorhandene, mechanische Herzklappe gelungen. Der im European Heart Journal publizierte kürzliche Eingriff hat in der Herzmedizin weltweites Aufsehen erregt. Die Veröffentlichung wurde im ersten Monat ihres Erscheinens fast 5000 Mal gelesen.

Ende der 60er Jahre wurde die erste künstliche Herzklappe entwickelt, deren Verschlussmechanismus aus zwei Karbon-Kippscheiben bestand. Obwohl jährlich immer noch fast 1300 Klappen dieser Bauart implantiert werden, kommen heutzutage zunehmend biologische Herzklappen zum Einsatz, in die schonend eine neue Klappe in Kathetertechnik implantiert werden kann, wenn sie defekt sind. Ungelöst war das Problem bei mechanischen Herzklappen.
Univ.-Prof. Dr. Christian Butter (Chefarzt der Kardiologie) und seine Kollegen Frank Hölschermann (Oberarzt Kardiologie) und Dr. Ralf-Uwe Kühnel (Oberarzt Herz- und Gefäßchirurgie) schreiben mit diesem neuen Transkatheterverfahren Medizingeschichte.
Minimalinvasiver Eingriff statt OP am offenen Herzen
Der Patient, ein 65-jähriger Mann mit einer akuten Herzschwäche, die sein Körper inzwischen nicht mehr von selbst ausgleichen konnte, erlangt durch den Eingriff ein großes Stück Lebensqualität zurück. Vor sieben Jahren unterzog er sich schon einmal einer Herz-OP, damals am offenen Herzen. Ihm wurde eine mechanische Herzklappen-Prothese eingesetzt. „Bei einer Körpergröße von 1,80 Metern wog der Mann nur 52 Kilo und war geplagt von Begleiterscheinungen seiner Herzerkrankung: der chronischen Lungenkrankheit COPD, Kurzatmigkeit und einem Nierenleiden. Außerdem hatte er bereits einmal einen Schlaganfall erlitten“, berichtet Prof. Butter. Einzige Hoffnung: eine erneute Herz-OP. Doch für einen Eingriff am offenen Herzen war der Gesundheitszustand des Mannes zu schlecht.
Bisher wurden nicht mehr funktionstüchtige, mechanische Klappenprothesen mit einem chirurgischen Klappenersatz behandelt. Wesentlich schonender für geschwächte Patienten ist dagegen eine minimalinvasive Transkatheter Klappe-in-Klappe Implantation über einen fingerdicken Einstich in der Leiste, am schlagenden Herzen.
Sprengung der mechanischen Klappe
Während des Eingriffs sprengten die Ärzte mit Hilfe eines Ballons am Katheter die eingesetzte mechanische Klappe. Ziel war es, die nicht mehr funktionstüchtigen Flügel in der Klappe auszutauschen. Die Sprengung der alten Klappe prüften die Ärzte zuvor in einem vorklinischen Labortest. Damit keine Fragmente der Karbon-Flügel der „alten“ Klappe in den Kopf gelangen und einen Schlaganfall auslösen konnten, wurden diese mit einem Filtersystem aufgefangen. Am Ende blieb nur der Ring der vormals implantierten Aortenklappenprothese, in den abschließend die neue Herzklappe eingesetzt wurde.
Dieser neue therapeutische Ansatz kann vor allem jenen Patienten helfen, die für eine erneute „große“ Operation nicht in Frage kommen. Aber es ist auch denkbar, diese Methode bei einem breiter gefächerten Spektrum an Patientinnen und Patienten anzuwenden.
Der erste Patient für das neue Verfahren hat den Eingriff gut überstanden. „Schon nach sieben Tagen konnte er das Herzzentrum laufend und ohne jegliche neurologischen Defizite verlassen“, sagt Prof. Butter und fügt hinzu: „Die Operation war damit ein voller Erfolg, in erster Linie natürlich für den Patienten selbst. Wir konnten ihn mit einer deutlich verbesserten Herzfunktion entlassen. Die Risiken, die von einem solchen Eingriff ausgehen, konnten wir für ihn auf ein Minimum reduzieren.“
- Den englischen Fachartikel zu dem neuen Verfahren lesen Sie unter folgendem Link im European Heart Journal.
- Mehr Informationen zum Immanuel Herzzentrum Brandenburg
Ansprechperson Presse
Dr. Jenny Jörgensen
Kommunikationsmanagerin Presse
Immanuel Albertinen Diakonie
Geschäftsstelle Berlin
Am Kleinen Wannsee 5 A
14109 Berlin
T: 030 80 505-843
M: 0173 2810 906
jenny.joergensen@immanuelalbertinen.de
Basisinformationen
Immanuel Klinikum Bernau Herzzentrum Brandenburg
Das Immanuel Klinikum Bernau Herzzentrum Brandenburg ist als Universitätsklinikum der Medizinischen Hochschule Brandenburg Theodor Fontane ein Krankenhaus der Grundversorgung (Innere Medizin, Gynäkologie und Geburtshilfe, Pädiatrie und Chirurgie) und Fachkrankenhaus für Herzmedizin. Insgesamt werden jährlich über 12.000 Patienten stationär und ca. 18.000 Patienten ambulant versorgt. Das Haus verfügt über 290 Betten.
Das Herzzentrum Brandenburg zählt mit ca. 1.500 Herzoperationen und über 6.400 Behandlungen in vier Herzkatheterlaboren, wovon eines als Hybrid-Katheterlabor ausgelegt ist, und sechs Operationssälen, einer davon ein hochmoderner Hybrid-OP, zu den führenden Einrichtungen in Deutschland. Die Patienten aus der Metropolregion Berlin sowie dem In- und Ausland können in der medizinischen und pflegerischen Betreuung auf einen Erfahrungsschatz seit 1992 vertrauen.
Weitere Informationen:
https://bernau.immanuel.de/
https://herzzentrum.immanuel.de/
https://www.mhb-fontane.de/
https://www.facebook.com/immanuel.klinikum.bernau/
https://www.facebook.com/HerzzentrumBrandenburg/
https://twitter.com/iD_Herzzentrum
Immanuel Albertinen Diakonie
Die Immanuel Albertinen Diakonie ist im Januar 2019 aus dem Zusammenschluss vom Albertinen Diakoniewerk und der Immanuel Diakonie hervorgegangen und steht für gebündelte Kompetenz für Menschen in herausfordernden Lebenssituationen.
Dazu dienen Einrichtungen der stationären Krankenhausversorgung, der Altenhilfe, Hospize sowie Medizinische Versorgungszentren. Hinzu kommen die Betreuung von Menschen mit Behinderungen, Angebote unter anderem in der Suchtkrankenhilfe, der Kinder- und Jugendhilfe und der psychosozialen Beratung. Eine hoch spezialisierte Akademie für Aus-, Fort- und Weiterbildung, die Trägerschaft für eine themenverbundene Hochschulausbildung sowie Dienstleistungsgesellschaften runden das Angebot ab.
Rund 7.700 Mitarbeitende in den Bundesländern Berlin, Brandenburg, Hamburg, Hessen, Mecklenburg-Vorpommern, Schleswig-Holstein und Thüringen erwirtschaften in 87 Einrichtungen einen Konzernumsatz von rund 630 Millionen Euro.
Weitere Informationen:
https://immanuelalbertinen.de
https://www.albertinen.de
https://immanuel.de
Dateien zum Download:
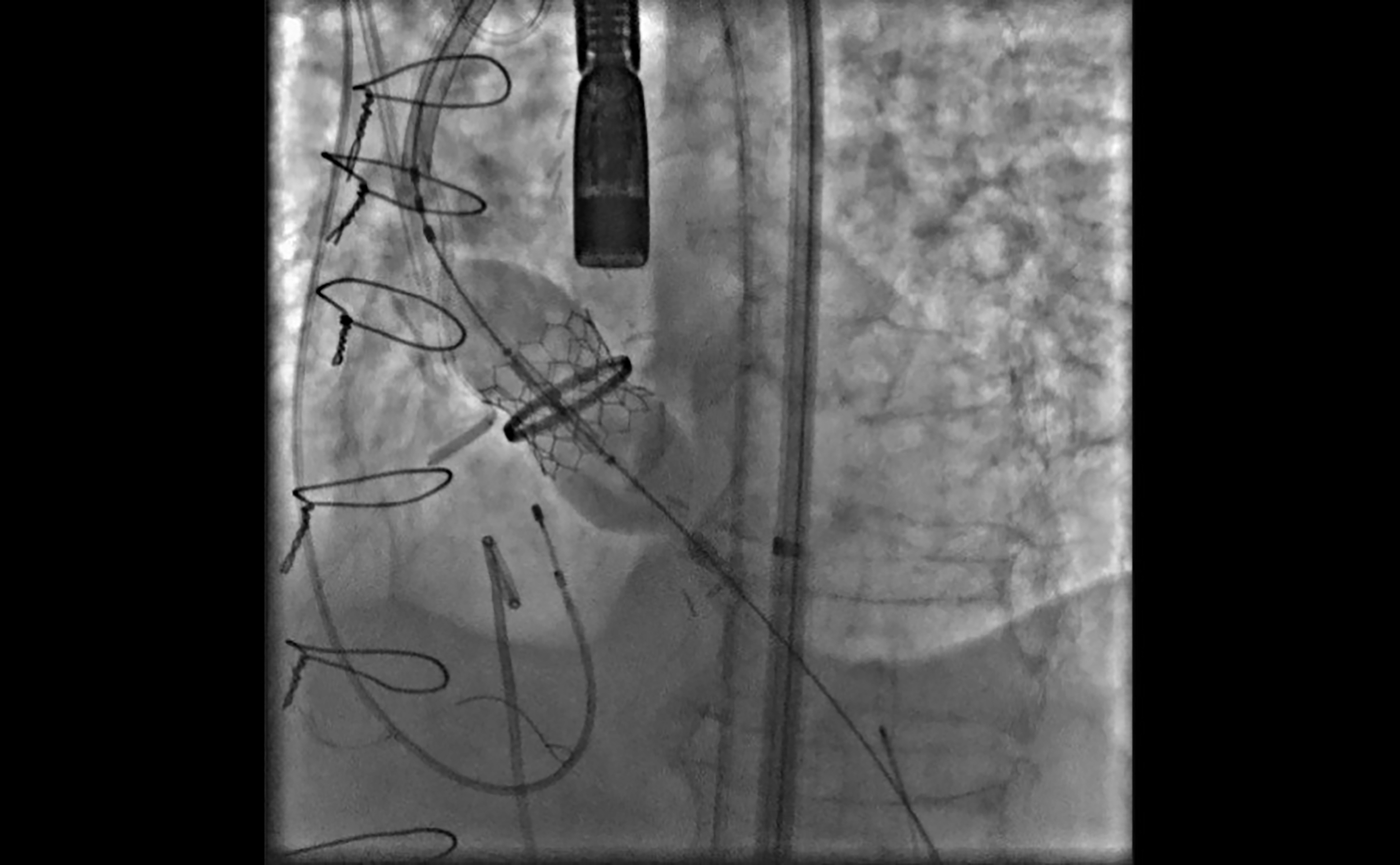
Pressefoto: 2021-09-08 Immanuel Herzzentrum Brandenburg implantiert welterste Herzklappe in eine mechanischde Klappe per Katheter
(JPG, 2 MB)
Die neue Klappe wird im Transkatheterverfahren auf den Ring der zurvor gesprengten alten mechanischen Klappe gesetz - ein Durchbruch in der Herzmedizin.
Pressefoto: 2021-09-08 Ring einer mechanischen Herzklappe nach der Sprengung des Flügels
(JPG, 1 MB)
Der Ring einer mechanischen Herzklappe nach der Sprengung des Carbon-Flügels im vorklinischen Labortest.
Butter, Christian Univ.-Prof. Dr. med., Chefarzt
(JPG, 4 MB)
Univ.-Prof. Dr. med. Christian Butter ist Chefarzt der Abteilung Kardiologie im Immanuel Klinikum Bernau Herzzentrum Brandenburg.